Thursday, September 9, 2010

Baby Abigail (with pictures)

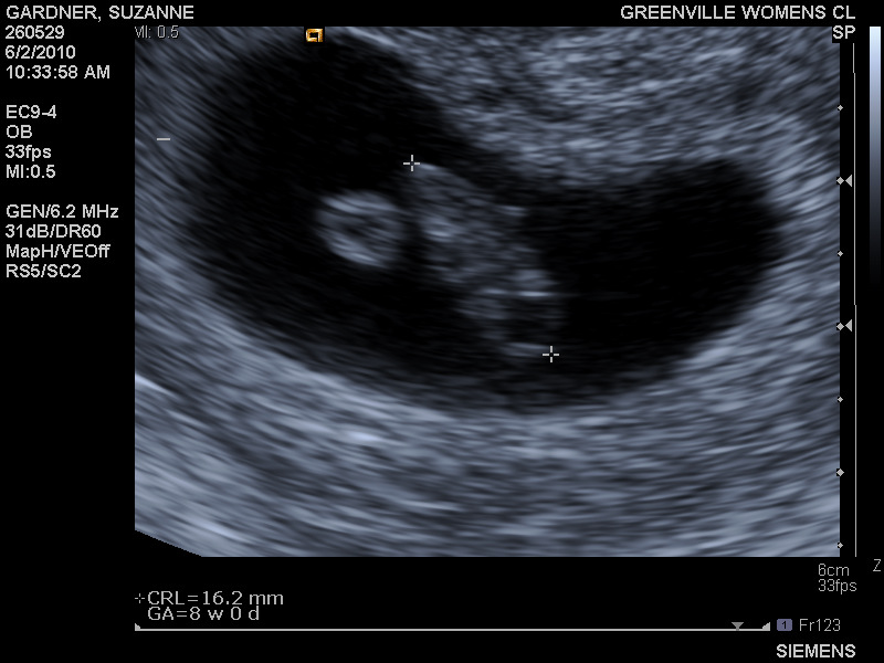
On May 4, 2010, the week of Mother's Day, we had another positive pregnancy test. I took a home test every day for a week, and finally had a blood test done a week later. My hCG was great, the progesterone level was low. Both were rechecked many times over the next several weeks. The hCG was going to levels I'd never experienced before. The progesterone level was staying low. I was started on an additional supplement, an intramuscular injection that I'd need once a week in addition to the Prometrium. The level still stayed low. The doctors were, once again, baffled. On 6/2 we had our first view of "Pookie" (nicknamed by our u/s tech) via u/s. She measured 8w0d and had the best sounding heartbeat we'd ever heard at a rapid rate of 175bpm. We were still a bit stunned we were pregnant, and even though things looked great overall, we were still very scared. We'd been through this before where everything is perfectly awesome ... until it isn't. Every week we had another ultrasound. Every week, Pookie had grown by leaps and bounds. On June 14, we not only heard that precious heartbeat, we saw her "dancing". The progesterone level continued to be low. We had one more option -- a supplement called Crinone that is used with IVF patients to help build up progesterone and uterine lining. The problem was, our insurance saw it as a fertility drug, so it cost $175 per week. We bit the bullet and went for it. Afterall, little Pookie was worth it. Meanwhile, our doctor called and wrote letters to the insurance company and the company that made the medication. After about 2 weeks, it was approved and now only cost a small copay.

By June 23, she was measuring a week ahead and doing flips. My progesterone level remained low, but was climbing. On July first, we got our first view of her profile, and my progesterone level was finally at an acceptable level. And we'd finally made it past 10 weeks.

July 14, I was finally 13 weeks. I'd completed the first trimester for the very first time. And this was the first time we started looking at genitalia.

On July 28, our 9th wedding anniversary, we started our day by seeing Abigail, who was officially declared a girl at 15 weeks. This was the very first visit to the doctor that I was excited about. Every single week up to this point, I feared there would be no heartbeat. This is the day we announced her existence to the world, via Facebook. 
July 28, 2010 - 15w3d


On 8/6 I'd been having abdominal pain for about 18 hours. In the beginning, I was positive it was just ligaments stretching and nothing to be alarmed about. But, everything I'd heard and read said that pain only lasted for several mins to hours. We were going on almost a whole day. I called the doctor's office and got worked in for an appt. By the time I made it to the office, I was a nervous wreck. I just knew we'd lost her. My hubby was at work but met me at the office. When I heard her heartbeat on the doppler, I cried. No, scratch that. I wept. Like a baby. And, upon physical examination and u/s, all was well with me and Abigail.


Today, I'm 21w4d and happier than I've ever been. It's taken lots of doctors, lots of tests, lots of medicines, lots of poking and prodding and needles and tears to get here. I've come close to losing my faith more times than I'd like to admit. If it wasn't for my husband, I honestly don't think I would have ever made it. Infertility can make or break a relationship. For us, it made us stronger as individuals, and as a couple.
7w3d
9w1d
11w4d
11w4d
12w4d
13w3d
13w3d
15w3d
15w3d
15w3d
16w5d
16w5d
17w3d
17w3d
17w3d
21w2d
21w2d (foot is 1.5" long)

As a daily regimen, I take an 81mg Aspirin, Folic Acid, Prenatal Vitamin, and a Lovenox shot (that my loving husband doses me with). The Lovenox shots will continue until 37 weeks, and then I'll have to start them back up for 6 weeks postpartum. Every week, I still require a intramuscular injection of progesterone that my coworker gives me. But, every night before bed, we get to hear our little miracle's heartbeat via a rented doppler (www.bellybeats.com) and it makes everything else seem so minuscule.

More of the same (and it's a long one)

After the loss of our baby, we grieved like you'd grieve the loss of a close family member, only worse. Not only did we lose this little person made by us, we lost the dreams we had for him/her and our family. We lost the overwhelming excitement every couple should feel when they see a positive pregnancy test. For now, we'd feel fear of the past repeating itself.

And it did. On December 18, 2008, we lost baby #2 at about 5 and a half weeks. The good news is we didn't have any issues getting pregnant this time. The added bad news? We've now lost 2 babies and no one can tell us why. Christmas was Hell. How do you celebrate with family and friends, most of which didn't even know about the babies, just one week after losing a second one?

At this point, our doctor said that based on the gestation that we lost both babies, and the fact of the luteal phase defect (LPD) I'd observed by doing my BBT's, he was pretty sure the miscarriages were due to low progesterone. I was to begin a supplement called Prometrium immediately following ovulation the next month we tried to conceive. But just in case, he sent us to a genetics counselor where everything checked out with both mine and my hubby's DNA. As a precaution (and because no one had any answers for us), I was to start taking additional folic acid (I've been taking a prenatal vitamin since Aug 2007) and a baby aspirin every day.

We now had some restored hope. I was started on Clomid to help my body to ovulate sooner to help avoid problems with the LPD. And, on February 19, 2009 when we had another positive pregnancy test, more fear than excitement was present. I'd been on the Prometrium, Aspirin, and additional folic acid. I had a blood test the very first day I had a positive home test. The hCG level was very low, but the progesterone level was awesome! I took a home pregnancy test every day for a week just to be sure the lines were getting darker. On March 5, 2009 we had our very first ultrasound. There was indeed a gestational sac. I had my hCG level checked twice a week, every week, and my progesterone level checked every week. On March 12, my hCG and progesterone levels had dropped from the last test. On March 17, the hCG had risen a little bit. I upped my Prometrium. On the 19th, it dropped again. We were told that we were most likely losing the baby. On the 20th, we had another u/s. The sac was present, but no heartbeat, and it was only measuring 5w3d despite being almost 8 weeks along, and the hCG had dropped even more. On March 24, it was declared a missed miscarriage (one my body didn't want to let go) and I was started on Cytotec to speed up the process of miscarrying. I actually required 2 doses instead of the usual 1 dose.

We'd now lost 3 babies. And we still had no answers. I'd done everything I'd been instructed to do. We were referred to a local infertility specialist who diagnosed me with PCOS (polycystic ovarian syndrome) and started me on Metformin. I had a (very painful) hystersalpingogram where they dilate the cervix, inject dye into the uterus, and watch the dye move through the reproductive tract under xray. This showed that I had a normal uterus, normal open fallopian tubes, and normal ovaries. We proceeded with probably about 20-30 blood tests, all of which came back normal. For the next several months we continued the Clomid and had monthly ultrasounds to look at the follicles present in my ovaries to be sure I was producing good eggs. I continued the Prometrium, aspirin and folic acid. All looked great and I was having normal ovulation and normal cycles.

On June 28, 2009 we had another positive pregnancy test. This one lasted about 5 weeks. This specialist declared it a "chemical pregnancy" saying I wasn't really pregnant. His nonchalant attitude and lack of compassion made the loss that much worse. It was then that I decided I really didn't care to see him again.

He started me on a 1-month Rx of birth control pills to "regulate my cycle". Then we resumed the Clomid and monthly mid-cycle ultrasounds. October 10, 2009 we had a positive pregnancy test. I waited close to a week before getting a blood test done because I didn't want to face another low hCG level. The level was higher than it had ever been. And the progesterone level was acceptable. That was the very last time I went to that specialist's office. He wasn't going to bum me out this time.

And then it happened. On October 29, 2009 at almost 8 weeks pregnant, we heard our very first heartbeat. It was at 126 bpm. All my blood levels were good, although the progesterone was on the low side of normal. The doctor said we'd made it. All was great. We needed to relax and get used to the idea that we were actually going to have a baby. We were ecstatic. We were now having weekly ultrasounds since we were such high risk. The following week, everything was still great. My hubby and I FINALLY relaxed at almost 9 weeks. Then we went for our (almost) 10 week u/s. There was no heartbeat and the baby measured just 9w2d. We were stunned. The u/s tech and doctor were baffled and had no words or explanation. Everything looked perfect, but the heart had stopped beating. We scheduled a D&C for 2 days later on 10/20/09 when I would've been exactly 10 weeks. We asked that the baby, placenta, and all other tissues collected be sent for testing. We'd get the results in about 6+ weeks. We were grasping at straws now. We'd lost 5 babies and still had no known cause.

In December 2009 we went to see a new specialist an hour and a half away. He had national recognition for infertility practices. Within 2 visits, he had diagnosed me with an elevated anticardiolipin antibody (ACA) which causes my body to attack a pregnancy and cut off it's blood supply. He also diagnosed my hubby with misshapen sperm. He was told to start detoxing his body with Acai Berry juice and a fertility supplement. We were told that this had to be a new development or I'd never have become pregnant. I was told I needed to be on a blood thinner, a type of heparin, called Lovenox starting after ovulation each cycle, and it would continue throughout the first trimester if we became pregnant. A month later, my hubby's sperm showed some improvement, and I was put through another test -- a saline ultrasound which would look for the same things as the hystersalpingogram. This was uncomfortable, but not nearly as painful as the HSG. All looked normal. Later in the month of January, we attempted intrauterine insemination (IUI) to be sure only the good sperm would reach an egg. It failed. We tried again in February w/o results.

Meantime, we got the results on the baby from the D&C. Normal DNA. Normal development. A perfect little girl.

In late February, I started having gallblader attacks. Finally, in March, it was decided by a surgeon that it needed to be removed. Once I had a negative pregnancy test, I scheduled the surgery. I told the surgeon that the surgery had to be after a period and before ovulation so that it wouldn't interfere with trying to get pregnant. I'm sure he thought I was crazy. I had surgery on 4/8/10. I had planned to recuperate in the mountains of TN, where we'd casually try again for a baby. No fertility meds. No blood tests. No IUI. Just a husband and a wife with a few ovulation tests. God had other plans. The surgery screwed up my cycle and pushed back my ovulation by a week.

But God knew what He was doing.

And so it began.

I don't think any woman expects to become pregnant the first month she and her partner begin trying, but you are still disappointed when it doesn't happen. After about 5 months of negative pregnancy tests, I became very proactive. I was on a mission. I purchased ovulation tests and pregnancy tests online (so much cheaper online!), bought a book (The Everything Getting Pregnant Book), and began charting basal body temps (BBT) (online). Of course, this meant an even bigger disappointment when the pregnancy tests were negative over the next several months. However, I learned a few things about my cycle by doing all of this. #1 I don't have a by-the-book 28 day cycle; #2 I do, in fact, ovulate every month, #3 however, I ovulate LATE in my cycle every month and have a luteal phase defect making it difficult to get pregnant since my body wasn't producing enough progesterone before cascading and signaling for menses to start. And, #4 working nights had my hormones, and therefore my cycle, all over the place.

This was a bitter pill to swallow and a bit overwhelming. But, now that I knew what was wrong, I could find a fix. Everything I read said that in my age group, it was unnecessary to seek professional help in getting pregnant until we'd been actively trying for a year. So, I didn't. Plus, I was afraid they'd find something else wrong with me and take all hope away.

The weekend of August 23,2008 was my first weekend back on day shift at work. I'm sooo not a morning person, but trying to get pregnant working nights wasn't working out, and since I'd been charting BBT's, I realized it wasn't going to happen. Also, working nights was making it very difficult to see family and friends. This was month 13 of trying to conceive. My very first cycle of day shifts brought a positive pregnancy test.



I was ecstatic! I was shaking and in disbelief as I sat on the commode lid staring at the test. I smiled. I laughed. I cried. My heart was racing. Then it dawned on me that it could be a false positive. I got myself together and drove to the store for more tests (and chugged a bottle of water on the way). I had been planning for at least 5 years on how I'd planned to tell my hubby the happy news. It all went out the window! I now had 2 positive tests. Different brands. Different urine samples. I laid them side by side and took a picture with my phone -- and sent them to my hubby who was at work. It seemed like an eternity before he called. I could hear the shaking in his voice as we happily cried together on the phone. This was Friday, September 26, 2008.

Following a blood test to confirm, we wanted to shout it from the rooftops, and basically did just that, but just with immediate family. Our excitement was short-lived.

On October 4, while at work, I started having cramping and bleeding. I called my hubby and we met the physician on call in the ED where we spent most of the night having blood work, ultrasound, urine tests, physical exam, etc. We'd lost the baby at just 5 weeks and 3 days. We were beyond devastated. That was the longest, quietest 40 minute ride home filled with nothing but tears.

The physician was encouraging. He said that 25% of pregnancies end in miscarriage, and most people at the gestation we were at wouldn't have even known they were expecting because it was so early. He went on to say that the many, many people that experience a miscarriage go on to have a healthy, full-term pregnancy. He also shared that, while he has 4 grown children, his wife also experienced 4 miscarriages. At the time, none of this helped at all. I felt like my hubby and I were the only 2 people on the planet who knew how we felt. I felt alone.

I asked him when we could start trying again. His answer surprised me. He said after one cycle, we could have another try. This gave me hope.

Getting Started

I married the man of my dreams, the love of my life, my best friend, my soul mate, on July 28,2001 when I was a mere 20 year old young woman. We had a rough start in our marriage, financially, but I feel it's part of what shaped us into the couple we are today. For that, I'm eternally thankful. When you're at your worst, and look around to see people offering a helping hand, you know you're loved.

I've wanted to be a Mommy more than anything else for as long as I can remember. My biggest fear since reaching adulthood was that this dream would never become a reality. Just after getting married, I was ready to start planning a family. As fate would have it, my husband was laid off about 2 weeks before we wed, and I was a full-time student in a Medical Assisting program working only part-time at a hotel chain. Obviously, this was not the time to try to get pregnant. Things got worse. Following 9/11, and a huge slump in travelers, the hotel chain I was working for laid me off. There we were, newlyweds, both in school, and jobless. Over the next several months, my hubby found temp job after temp job, one of which finally turned into a great full-time, permanent job. He put his schooling on hold.

I graduated from college as a Medical Assistant in December 2003, became certified, and began working full-time at the doctor's office I'd been introduced to during clinicals in school. One problem: no benefits. Approximately 1 year later, I found another job, WITH benefits and great pay at a brand new Urgent Care office. We started looking for a house and started thinking of expanding our much desired family. Due to slow business in this brand new office, I was laid off. Again.

I was a bit more positive this time. After a long talk over some Southern barbeque with my Daddy, I decided to go back to school. For Nursing this time. Something I was too scared to attempt right out of high school. I applied and was accepted into the Nursing school program. I'd start in the Fall of 2005. My dear hubby began working 2 jobs to support us so that I could concentrate completely on the educational version of boot camp that is Nursing School. I graduated in May 2007, accepted a job at a local, small-town hospital, and passed my nursing boards on the first try in July. Finally, things we're looking up. Except my hubby was laid off, again, from his full-time job during the exact hour I was being interviewed for my first nursing job. Thankfully, he still had that part-time job he'd started while I was in school. We were still ok.



We relocated to the small town where I was now employed in August 2007. We were finally, actually, going to try for a baby of our own, and couldn't be happier.